Placenta MRI Protocol and Planning
Indications for placenta MRI scan
- For the assessment of intrauterine fetal growth restriction
- Diagnosis and management of placenta accreta
- Diagnosis and management of placenta previa
- Surgical management of abnormal placentation
Contraindications
- Any electrically, magnetically or mechanically activated implant (e.g. cardiac pacemaker, insulin pump biostimulator, neurostimulator, cochlear implant, and hearing aids)
- Intracranial aneurysm clips (unless made of titanium)
- Ferromagnetic surgical clips or staples
- Metallic foreign body in the eye
- Metal shrapnel or bullet
Patient preparation for placenta MRI scan
- A satisfactory written consent form must be taken from the patient before entering the scanner room
- Ask the patient to remove all metal object including keys, coins, wallet, any cards with magnetic strips, jewellery, hearing aid and hairpins
- Ask the patient to undress and change into a hospital gown
- An intravenous line must be placed with extension tubing extending out of the magnetic bore
- Claustrophobic patients may be accompanied into the scanner room e.g. by staff member or relative with proper safety screening
- Offer earplug or headphones possibly with music for extra comfort
- Explain the procedure to the patient and answer questions
- Note down the weight of the patient
- Pregnancy scanning consent must be taken before the procedure
Positioning for placenta MRI scan
- Position the patient in supine position with head pointing towards the magnet (head first supine)
- Position the patient over the spine coil and place the body coil over abdomen and pelvis (nipple down to elbow three inches below symphysis pubis)
- Securely tighten the body coil using straps to prevent respiratory artefacts
- Give a pillow under the head and cushions under the legs for extra comfort
- Centre the laser beam localiser over mid abdomen
- Register the patient in the scanner as head first supine

Recommended MRI Placenta Scan Protocols and Planning
MRI Placenta localiser
A three-plane HASTE localiser must be taken initially to localise and plan the sequences. These are fast single-shot localisers with under 25s acquisition time, which are excellent for localising abdominal and pelvic structures. Take at least 3-4 slices in all planes to get the best results.

T2 HASTE sagittal 6 mm Respiratory gated
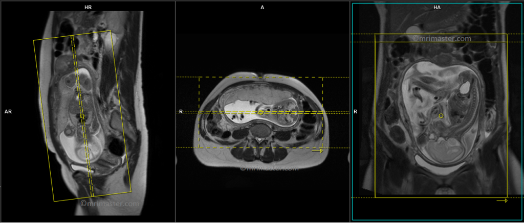
Begin by planning the sagittal slices on the coronal localizer and position the block parallel to the gravid uterus. Verify the positioning block in the other two planes to confirm proper alignment. It is essential to provide an appropriate angle in the axial plane, which should be perpendicular to the gravid uterus. The number of slices should be sufficient to cover the entire abdomen and pelvis, from right to left. The field of view (FOV) must be wide enough to encompass the whole abdomen and pelvis, typically ranging from 400 mm to 480 mm. However, it is important to note that these scans usually take approximately 35 to 40 seconds, which can be challenging for a pregnant woman to hold her breath. To address this issue, we perform the scan under respiratory gating. There are two options for respiratory gating: the liver dome method or the table respiratory sensors. In our department, we utilize the table respiratory sensor.

Parameters
TR 4-5 | TE 2-3 | FLIP 60 | NEX 1 | SLICE 6 MM | MATRIX 320×320 | FOV 400-480 | PHASE R>L | OVERSAMPLE 30% | IPAT ON |
Table sensors
Advanced MRI scanners are equipped with built-in table sensors that detect the respiratory waveform and trigger data acquisition during the expiration phase of the respiratory cycle. Proper patient positioning over the sensor is critical for accurate respiratory gating. This method eliminates the need for external respiratory gating equipment, such as sensors and belts.

T2 HASTE coronal 6 mm Respiratory gated
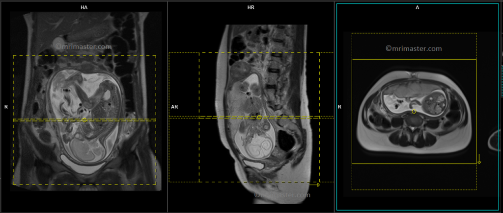
Plan the coronal slices on the sagittal localizer and position the block parallel to the gravid uterus. Verify the positioning block in the other two planes for proper alignment. An appropriate angle should be set in the axial plane, running parallel across the gravid uterus. The number of slices should be sufficient to cover the entire abdomen and pelvis, from the anterior abdominal wall to the spinous process of the vertebrae. The field of view (FOV) must be large enough to encompass the entire abdomen and pelvis, typically ranging from 400 mm to 480 mm. However, it is important to note that these scans usually take approximately 30 to 35 seconds, which can be challenging for a pregnant woman to hold her breath. To address this issue, we perform the scan under respiratory gating. There are two options for respiratory gating: the liver dome method or the table respiratory sensors. In our department, we utilize the table respiratory sensor.

Parameters
TR 4-5 | TE 2-3 | FLIP 60 | NEX 1 | SLICE 6MM | MATRIX 320×320 | FOV 400-480 | PHASE R>L | OVERSAMPLE 30% | IPAT ON |
T2 HASTE axial 6 mm Respiratory gated
Plan the axial slices on the sagittal scans and angle the position block perpendicular through the gravid uterus. Verify the positioning block in the other two planes for proper alignment. An appropriate angle should be set in the coronal plane, running perpendicular across the gravid uterus. The number of slices should be sufficient to cover the entire abdomen and pelvis, from the diaphragm to the pubic symphysis. The field of view (FOV) must be large enough to encompass the entire abdomen and pelvis, typically ranging from 400 mm to 480 mm. However, it is important to note that these scans usually take approximately 40 to 45 seconds, which can be challenging for a pregnant woman to hold her breath. To address this issue, we perform the scan under respiratory gating. There are two options for respiratory gating: the liver dome method or the table respiratory sensors. In our department, we utilize the table respiratory sensor.

Parameters
TR 4-5 | TE 2-3 | FLIP 60 | NEX 1 | SLICE 5 MM | MATRIX 320×320 | FOV 400-480 | PHASE A>P | OVERSAMPLE 10% | IPAT ON |
T1 tse\ vibe axial 6mm breath hold fetal brain
Plan the axial slices on the sagittal scans and angle the position block perpendicular through the gravid uterus. Verify the positioning block in the other two planes for proper alignment. An appropriate angle should be set in the coronal plane, running perpendicular across the gravid uterus. The number of slices should be sufficient to cover the entire abdomen and pelvis, from the diaphragm to the pubic symphysis. The field of view (FOV) must be large enough to encompass the entire abdomen and pelvis, typically ranging from 400 mm to 480 mm. However, it is crucial to understand that these scans typically last for approximately 15 to 20 seconds and cannot be performed under respiratory gating. Therefore, kindly request the patient to hold their breath during this short duration. Based on our experience, most patients are willing to comply with the breath-holding instructions for a scan of this duration.

Parameters
TR 4-5 | TE 2-3 | FLIP 60 | NEX 1 | SLICE 5 MM | MATRIX 320×320 | FOV 400-480 | PHASE A>P | OVERSAMPLE 10% | IPAT ON |
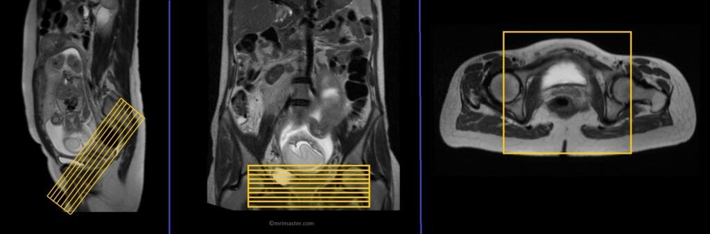
T2 HASTE axial oblique 4mm Respiratory gated
Plan the axial slices on the sagittal scans; angle the position block perpendicular to the birth canal. Verify the positioning block in the other two planes. Maintain an appropriate angle in the coronal plane, aligning it parallel to the right and left humeral head. Include enough slices to cover the entire birth canal.
Parameters
TR 4-5 | TE 2-3 | FLIP 60 | NEX 1 | SLICE 5 MM | MATRIX 320×320 | FOV 450-480 | PHASE A>P | OVERSAMPLE 10% | IPAT ON |
