Rectovaginal(RV) Fistula MRI Protocol and Planning
Indications for anovaginal and rectovaginal fistula mri
- Irritation or pain in the vulva, vagina and the area between the vagina and anus
- For pre-operative evaluation of anovaginal and rectovaginal fistulas
- To check the extend of anovaginal and rectovaginal fistulas
- Passage of gas, stool or pus from your vagina
- Recurrent vaginal or urinary tract infections
- Foul-smelling vaginal discharges
Contraindications
- Any electrically, magnetically or mechanically activated implant (e.g. cardiac pacemaker, insulin pump biostimulator, neurostimulator, cochlear implant, and hearing aids)
- Intracranial aneurysm clips (unless made of titanium)
- Pregnancy (risk vs benefit ratio to be assessed)
- Ferromagnetic surgical clips or staples
- Metallic foreign body in the eye
- Metal shrapnel or bullet
Patient preparation for rectovaginal fistula mri
- A satisfactory written consent form must be taken from the patient before entering the scanner room
- Ask the patient to remove all metal objects including keys, coins, wallet, cards with magnetic strips, jewellery, hearing aid and hairpins
- Ask the patient to undress and change into a hospital gown
- If possible provide a chaperone for claustrophobic patients (e.g. relative or staff )
- Offer earplugs or headphones, possibly with music for extra comfort
- Explain the procedure to the patient
- Note down the weight of the patient
Positioning for rectovaginal fistula mri
- Position the patient in supine position with head pointing towards the magnet (head first supine)
- Position the patient over the spine coil and place the body coil over the pelvis ( iliac crest down to mid thigh)
- Securely tighten the body coil using straps to prevent respiratory artefacts
- Give a pillow under the head for extra comfort
- Centre the laser beam localiser over symphysis pubis (4 inches below iliac crest)
- Do not use cushions under the legs because it can lift the bottom of the pelvis away from the coil

Recommended MRI Rectovaginal Fistula Protocols and Planning
localiser
A three-plane localizer must be taken at the beginning to localize and plan the sequences. Typically, localizers require less than 25 seconds and consist of T1/T2 weighted low-resolution scans. Additional localizers should be taken until a proper axial, coronal, and sagittal view of the rectovaginal area is achieved.

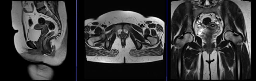
T2 tse sagittal 3mm
Plan the sagittal slices on the coronal plane; angle the planning block parallel to the vagina (i.e., parallel to the interpubic fibrocartilage). Check the planning block in the other two planes. An appropriate angle must be given in the axial plane (parallel to the interpubic fibrocartilage and the anal canal). Slices must be sufficient to cover the pelvis from the right acetabulum to the left acetabulum.

Parameters
TR 3000-4000 | TE 100-120 | SLICE 3 MM | FLIP 130-150 | PHASE H>F | MATRIX 320X320 | FOV 250-300 | GAP 10% | NEX(AVRAGE) 2 |
T2 stir sagittal 3mm small fov
Plan the sagittal slices on the coronal plane and angle the planning block parallel to the vaginal canal (i.e., parallel to the interpubic fibrocartilage). Check the planning block in the other two planes. An appropriate angle must be given in the axial plane (parallel to the line along the interpubic fibrocartilage and the anal canal). The slices should adequately cover the pelvis from the right acetabulum to the left acetabulum. Utilize a small FOV to achieve a high-resolution scan of the rectovaginal area, typically ranging from 150 to 200.

Parameters
TR 3000-4000 | TE 110 | FLIP 130 | NEX 4 | SLICE 3MM | MATRIX 256X256 | FOV 150-200 | PHASE H>F | GAP 10% | TI 130 |
T2 tse fat sat (or stir)axial oblique 3mm small fov
Plan the axial slices on the sagittal plane and angle the planning block perpendicular to the vaginal canal. Check the planning block in the other two planes. An appropriate angle must be given in the coronal plane (perpendicular to the vaginal canal). The slices must be sufficient to cover the entire vaginal canal from 1 cm above the cervix down to 1 cm below the anal opening. The FOV (Field of View) must be small to produce a high-resolution scan of the rectovaginal area (usually 150 to 200).

Parameters
TR 5000-6000 | TE 110 | FLIP 130 | NEX 5 | SLICE 3 MM | MATRIX 256X256 | FOV 150-200 | PHASE R>L | GAP 10% | FAT SAT SPAIR |
T2 tse fat sat (or stir)coronal oblique 3mm small fov
Plan the coronal slices on the sagittal plane and angle the planning block parallel to the vaginal canal. Check the planning block in the other two planes. An appropriate angle must be given in the axial plane (horizontally across the vagina). Slices must be sufficient to cover the whole rectovaginal area from the pubic symphysis to the sacrum. The field of view (FOV) must be small to produce a high-resolution scan of the rectovaginal area (normally 150 to 200).

Parameters
TR 5000-6000 | TE 110 | FLIP 130 | NEX 5 | SLICE 3 MM | MATRIX 256X256 | FOV 150-200 | PHASE R>L | GAP 10% | FAT SAT SPAIR |