MRI Urography (Planning and Protocols)
Indications for MRI Urography scan
- Children and pregnant patients with dilated collecting systems
- To assess the integrity of the urinary tract status post trauma
- Suspected or known urethral obstruction.
- Frequent urinary tract infections
- Suspected congenital anomalies
- Urinary tract infections
- Local staging of cancer
- Genitourinary tract TB
- Urothelial carcinomas
- Urologic malignancy
- Hydronephrosis
- Renal cancers
- Haematuria
Contraindications
- Any electrically, magnetically or mechanically activated implant (e.g. cardiac pacemaker, insulin pump biostimulator, neurostimulator, cochlear implant, and hearing aids)
- Intracranial aneurysm clips (unless made of titanium)
- Pregnancy (risk vs benefit ratio to be assessed)
- Do not use IV contrast in pregnant patients
- Ferromagnetic surgical clips or staples
- Metallic foreign body in the eye
- Metal shrapnel or bullet
Patient preparation for MRI Urography scan
- A satisfactory written consent form must be taken from the patient before entering the scanner room
- Ask the patient to remove all metal object including keys, coins, wallet, any cards with magnetic strips, jewellery, hearing aid and hairpins
- For claustrophobic patient offer chaperone to accompany patient into the scanner room if possible (e.g. relative or staff )
- Instruct the patient to hold their breath for the breath hold scans (its better to coach the patient two to three times before starting the scan)
- An intravenous line must be placed with extension tubing extending out of the magnetic bore
- Contrast injection risk and benefit must be explained to the patient before the scan
- Gadolinium should only be given to the patient if GFR is > 30
- Offer headphones for communicating with the patient and ear protection
- Properly explain the procedure to the patient
- Instruct the patient to keep still
- Note the weight of the patient
Positioning for MRI Urography scan
- Position the patient in supine position with head pointing towards the magnet (head first supine)
- Position the patient over the spine coil and place the body coils over abdomen and pelvis (nipple down to elbow three inches below symphysis pubis)
- Securely tighten the body coil using straps to prevent respiratory artefacts
- Give a pillow under the head and cushions under the legs for extra comfort
- Centre the laser beam localiser over the iliac crest
- Register the patient in the scanner as head first supine

Recommended MRI Urography scan Protocols and Planning
MRI Urography localizer
A three-plane T2 TRIFISP\HASTE localizer must be taken initially to localize and plan the sequences. These are fast single-shot localizers with under 25s acquisition time, which are excellent for localizing vascular structures. Take at least 5-8 slices in all planes to get the best results.

T2 TRUFI \HASTE fat sat axial 4 mm
Plan the axial slices on the coronal plane, angle the positioning block parallel to the right and left iliac crest. Check the positioning block in the other two planes. An appropriate angle must be given in the sagittal plane (horizontally across the abdomen). The slices must be sufficient to cover the entire abdomen and pelvis from the diaphragm down to the symphysis pubis. Use a field of view (FOV) that is large enough to encompass the entire abdomen, typically ranging from 350mm to 400mm.

Parameters
TR 4-5 | TE 2-3 | FLIP 60 | NEX 1 | SLICE 4 MM | MATRIX 320×256 | FOV 350-400 | PHASE R>L | OVERSAMPLE 50% | IPAT ON |
T2 haste axial 4 mm
Plan the axial slices on the coronal plane, angle the positioning block parallel to the right and left iliac crest. Check the positioning block in the other two planes. An appropriate angle must be given in the sagittal plane (horizontally across the abdomen). The slices must be sufficient to cover the entire abdomen and pelvis from the diaphragm down to the symphysis pubis. Use a field of view (FOV) that is large enough to encompass the entire abdomen, typically ranging from 350mm to 400mm.

Parameters
TR 1500-2500 | TE 100 | FLIP 150 | NEX 1 | SLICE 4 MM | MATRIX 320X320 | FOV 400-450 | PHASE A>P | OVERSAMPLE 50% | IPAT ON |
T1 flash FS/ vibe 3D DIXON coronal 2 mm
Plan the coronal slices on the axial plane and angle the positioning block parallel to the right and left kidneys. Check the positioning block in the other two planes. An appropriate angle must be given in the sagittal plane (parallel to the L spine). Ensure that the slices are sufficient to cover the entire urinary system. Use phase oversampling and, in the case of 3D blocks, slice oversample to avoid wrap-around artifacts. The field of view (FOV) must be large enough to cover the kidneys and bladder. Instruct the patient to hold their breath while the images are being acquired. (In our department, we advise patients to take two breaths in and out before the “breath in and hold” instruction).

Parameters
TR 4-5 | TE 3 | FLIP 12 | NEX 1 | SLICE 2 MM | MATRIX 320X320 | FOV 350-400 | PHASE R>L | OVERSAMPLE 50% | IPAT OFF |
T2 haste coronal 3mm
Plan the coronal slices on the axial plane and angle the positioning block parallel to the right and left kidneys. Check the positioning block in the other two planes. An appropriate angle must be given in the sagittal plane (parallel to the L spine). Ensure that the slices are sufficient to cover the entire urinary system. Use phase oversampling and, in the case of 3D blocks, slice oversample to avoid wrap-around artifacts. The field of view (FOV) must be large enough to cover the kidneys and bladder. Instruct the patient to hold their breath while the images are being acquired. (In our department, we advise patients to take two breaths in and out before the “breath in and hold” instruction).

Parameters
TR 1500-2000 | TE 100 | FLIP 150 | NEX 1 | SLICE 3 MM | MATRIX 320X320 | FOV 400-450 | PHASE R>L | OVERSAMPLE 50% | IPAT OFF |
T2 HASTE thick 60mm breath hold coronal oblique(single slice)
Plan the coronal slice on the axial plane; angle the positioning block parallel to the right and left kidneys. Check the positioning block in the other two planes. An appropriate angle must be given in the sagittal plane (parallel to the ureter). Slice thickness must be sufficient to cover the entire ureters. Phase oversampling must be used to avoid wrap-around artifacts. FOV must be big enough to cover the kidneys and bladder. Instruct the patient to hold their breath during image acquisition.

Parameters
TR 3000-4000 | TE 500 | FLIP 150 | NEX 1 | SLICE 60mm | MATRIX 384X320 | FOV 400-450 | PHASE R>L | OVERSAMPLE 50% | IPAT ON |
T2 haste thick 60mm breath hold sagittal oblique(single slice) RT
Plan the sagittal slice on the coronal plane; angle the positioning block parallel to the right ureter. Check the positioning block in the other two planes. An appropriate angle must be given in the axial plane (perpendicular to the right kidney calyx). Slice thickness must be sufficient to cover the whole ureter. Phase oversampling must be used to avoid wrap-around artifacts. The field of view (FOV) must be big enough to cover the kidneys and bladder. Instruct the patient to hold their breath during image acquisition.

Parameters
TR 3000-4000 | TE 500 | FLIP 150 | NEX 1 | SLICE 60mm | MATRIX 384X320 | FOV 400-450 | PHASE A>P | OVERSAMPLE 50% | IPAT ON |
T2 haste thick 60mm breath hold sagittal oblique(single slice) LT
Plan the sagittal slice on the coronal plane; angle the positioning block parallel to the left ureter. Check the positioning block in the other two planes. An appropriate angle must be given in the axial plane (perpendicular to the left kidney calyx). Slice thickness must be sufficient to cover the whole ureter. Phase oversampling must be used to avoid wrap-around artifacts. The field of view (FOV) must be big enough to cover the kidneys and bladder. Instruct the patient to hold their breath during image acquisition.

Parameters
TR 3000-4000 | TE 500 | FLIP 150 | NEX 1 | SLICE 60mm | MATRIX 384X320 | FOV 400-450 | PHASE A>P | OVERSAMPLE 50% | IPAT ON |
Pause for contrast injection
contrast administration and timing of scans
Guess timing technique:-
This method is among the most straightforward techniques, relying on estimating the time it takes for contrast to travel from the injection site to the kidneys’ vascular structure. The success of this technique is closely tied to factors like the injection site, patient age, cardiac output, and vascular anatomy. Typically, it takes around 18-25 seconds for the contrast to travel from the antecubital vein to the abdominal aorta. Consequently, arterial acquisition should commence within 25 seconds of administering the contrast.
T1 flash FS/ vibe 3D DIXON coronal 2 mm arterial 25 seconds
Plan the coronal slices on the axial plane and angle the positioning block parallel to the right and left kidneys. Check the positioning block in the other two planes. An appropriate angle must be given in the sagittal plane (parallel to the L spine). Ensure that the slices are sufficient to cover the entire urinary system. Use phase oversampling and, in the case of 3D blocks, slice oversample to avoid wrap-around artifacts. The field of view (FOV) must be large enough to cover the kidneys and bladder. Instruct the patient to hold their breath while the images are being acquired. (In our department, we advise patients to take two breaths in and out before the “breath in and hold” instruction).

Parameters
TR 4-5 | TE 2 | FLIP 12 | NEX 1 | SLICE 2 MM | MATRIX 320X320 | FOV 350-400 | PHASE R>L | OVERSAMPLE 50% | IPAT OFF |
T1 flash FS/ vibe 3D DIXON coronal 2mm venous 50 seconds
Plan the coronal slices on the axial plane and angle the positioning block parallel to the right and left kidneys. Check the positioning block in the other two planes. An appropriate angle must be given in the sagittal plane (parallel to the L spine). Ensure that the slices are sufficient to cover the entire urinary system. Use phase oversampling and, in the case of 3D blocks, slice oversample to avoid wrap-around artifacts. The field of view (FOV) must be large enough to cover the kidneys and bladder. Instruct the patient to hold their breath while the images are being acquired.

Parameters
TR 4-5 | TE 2 | FLIP 12 | NEX 1 | SLICE 2 MM | MATRIX 320X320 | FOV 350-400 | PHASE R>L | OVERSAMPLE 50% | IPAT OFF |
T1 flash FS/ vibe 3D DIXON coronal 2 mm delayed 5 minutes
Plan the coronal slices on the axial plane and angle the positioning block parallel to the right and left kidneys. Check the positioning block in the other two planes. An appropriate angle must be given in the sagittal plane (parallel to the L spine). Ensure that the slices are sufficient to cover the entire urinary system. Use phase oversampling and, in the case of 3D blocks, slice oversample to avoid wrap-around artifacts. The field of view (FOV) must be large enough to cover the kidneys and bladder. Instruct the patient to hold their breath while the images are being acquired.

Parameters
TR 4-5 | TE 2 | FLIP 12 | NEX 1 | SLICE 2 MM | MATRIX 320X320 | FOV 350-400 | PHASE R>L | OVERSAMPLE 50% | IPAT OFF |
T1 flash FS/ vibe 3D DIXON coronal 2mm delayed 10 minutes
Plan the coronal slices on the axial plane and angle the positioning block parallel to the right and left kidneys. Check the positioning block in the other two planes. An appropriate angle must be given in the sagittal plane (parallel to the L spine). Ensure that the slices are sufficient to cover the entire urinary system. Use phase oversampling and, in the case of 3D blocks, slice oversample to avoid wrap-around artifacts. The field of view (FOV) must be large enough to cover the kidneys and bladder. Instruct the patient to hold their breath while the images are being acquired.

Parameters
TR 4-5 | TE 2 | FLIP 12 | NEX 1 | SLICE 2 MM | MATRIX 320X256 | FOV 350-400 | PHASE R>L | OVERSAMPLE 50% | IPAT OFF |
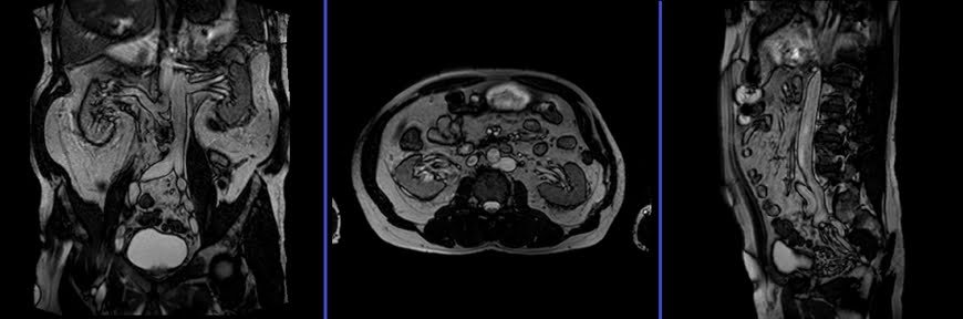
T1 flash FS/ vibe 3D DIXON axial 3mm delayed
Plan the axial slices on the coronal plane, angle the positioning block parallel to the right and left iliac crest. Check the positioning block in the other two planes. An appropriate angle must be given in the sagittal plane (horizontally across the abdomen). The slices must be sufficient to cover the entire abdomen and pelvis from the diaphragm down to the symphysis pubis. Use a field of view (FOV) that is large enough to encompass the entire abdomen, typically ranging from 350mm to 400mm.

Parameters
TR 4-5 | TE 2 | FLIP 12 | NEX 1 | SLICE 3 MM | MATRIX 320X320 | FOV 350-400 | PHASE A>P | OVERSAMPLE 50% | IPAT ON |
CLICK THE SEQUENCES BELOW TO CHECK THE SCANS
- localize_3plane1
- T2_TRUFI_FAT SAT_AXIAL_BH2
- T2_HASTE_AXIAL_BH3
- T1_FLASH 3D_CORONAL_3MM_BH_PRE4
- T2_HASTE_CORONAL_BH_3MM5
- T2_HASTE_CORONAL_BH_THICK SLAB_60MM6
- T2_HASTE_SAGITTAL_BH_THICK SLAB_60MM_RT7
- T2_HASTE_SAGITTAL_BH_THICK SLAB_60MM_LT8
- Constrast enchancement

- T1_FLASH 3D_CORONAL_3MM_BH_ARTERIAL9
- T1_FLASH 3D_CORONAL_3MM_BH_VENOUS10
- T1_FLASH 3D_CORONAL_3MM_BH_5MIN11
- T1_FLASH 3D_CORONAL_3MM_BH_10 MIN12